Bạn lo lắng mỗi lần sau khi đến nha khoa cạo vôi răng là hay bị chảy máu, bạn không biết liệu việc bị chảy máu như vậy có ảnh hưởng gì không? Chúng ta hãy cùng tham khảo bài viết sau đây nhé!

Cạo vôi răng bị chảy máu nhiều có sao không
Bản chất của việc cạo vôi răng có tác dụng giúp làm sạch răng và ngăn ngừa sự tích tụ các vi khuẩn trên răng. Đó cũng chính là nguyên nhân gây ra tình trạng hôi miệng, viêm nướu răng, viêm nha chu và nghiêm trọng hơn có thể làm răng bạn lung lay dẫn đến rụng răng.
Cạo vôi răng có chảy máu nhiều không sẽ tùy thuộc vào dạng vôi và lượng vôi bám trên răng của bạn. Nếu bạn không đi cạo vôi răng định kỳ, để vôi răng hình thành, bám nhiều quanh chân răng thì khi lấy vôi răng bạn sẽ cảm thấy hơi ê buốt răng.
 |
|
Cạo vôi răng bị chảy máu nhiều hay không tùy thuộc vào dạng vôi răng |
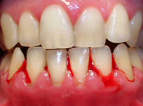
Nhiều người vẫn thường lo lắng khi cạo vôi răng bị chảy máu hoặc đau, ê buốt khó chịu. Tuy nhiên, đó không phải là những vấn đề bận tâm. Vì cạo vôi răng chỉ là một thủ thuật làm sạch răng, loại bỏ những mảng bám thức ăn bám trên thân răng, kẽ răng lâu ngày. Kỹ thuật của quy trình cạo vôi răng chỉ tác động ở bề mặt răng, không làm tổn thương đến mô mềm nướu lợi, nên chảy máu chân răng là điều khó xảy ra.
 |
|
Cạo vôi răng bị chảy máu là điều rất bình thường bạn không nên bận tâm |
Tuy nhiên, nếu vôi răng bám ở vị trí phức tạp như dưới nướu thì việc cạo vôi răng sẽ lâu hơn và cũng có thể gây đau và chảy máu. Đây là những trường hợp khá hiếm gặp, và những triệu chứng hơi ê, đau, chảy máu cũng sẽ nhanh chóng hết sau khi cạo răng. Bạn nên lưu ý cách ăn uống, vệ sinh sau khi cạo vôi răng để cảm giác răng nhanh phục hồi.
Làm sao để cạo vôi răng không bị chảy máu nhiều?
Để đảm bảo không có sự thương tổn mô mềm trong quá trình thực hiện và an toàn tuyệt đối cho bệnh nhân, PK Nha khoa chuẩn bị chu đáo từ khâu vệ sinh dụng cụ đến thiết bị cạo vôi răng hiện đại.
 |
|
Dụng cụ cạo vôi răng hiện đại |
Những dụng cụ cần thiết sử dụng cho việc lấy vôi răng đều được chuẩn bị sẵn sàng, vô trùng tuyệt đối trước khi thực hiện cho bạn, đảm bảo tuyệt đối không có sự lây bệnh từ bệnh nhân này sang bệnh nhân khác.
 |
|
Dụng cụ cạo vôi răng luôn đảm bảo vô trùng tuyệt đối |
Bác sĩ sẽ điều chỉnh và kiểm soát tần số của máy lấy cao răng siêu âm. Tùy vào từng mức độ vôi răng và vị trí cần thực hiện mà bác sĩ điều chỉnh độ rung của đầu máy sao cho phù hợp nhất. Đầu máy cạo vôi với độ rung phù hợp.
 |
|
Nên đi cạo vôi răng 3-6 tháng/lần |
Để tránh việc cạo vôi răng gây đau và chảy máu nhiều, bệnh nhân nên tuân thủ theo lời khuyên của bác sĩ nha khoa, nên lấy vôi răng định kỳ 3 – 6 tháng/ lần, phải kết hợp với việc vệ sinh răng miệng đúng cách, giúp răng luôn sạch sẽ, tránh được các mảng bám ăn sâu vào trong nướu răng.
http://www.caovoirang.edu.vn/